Casos Clínicos - Clinica dental Muro

Clínica Dental Muro
Vaya al Contenido
Compartimos algunos de los casos clínicos dentales realizados en Clínical Dental Muro

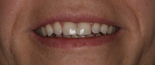
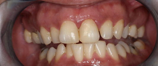
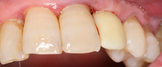
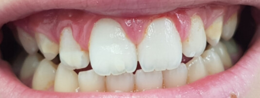
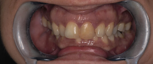
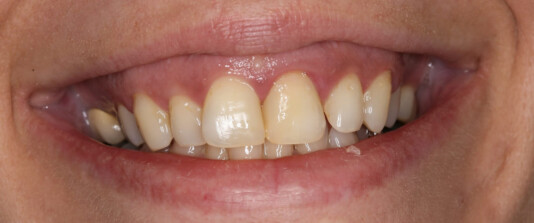
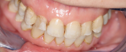
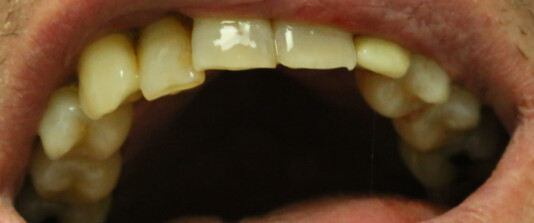
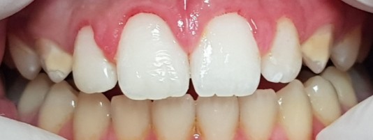
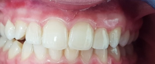
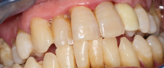
Caso Clínico de carillas de composite
Las carillas dentales de composite son unas finas láminas del citado material que sirven para mejorar la apariencia de los dientes
Caso Clínico 1
Carillas de composite
Carillas de composite
Carillas de composite
Carillas de composite
Caso Clínico 2
Carillas de composite
Carillas de composite
Caso Clínico 3
Carillas de composite
Carillas de composite
Caso Clínico 4
Carillas de composite
Carillas de composite
Carillas de composite
Caso Clínico 5
Carillas de composite
Carillas de composite
Carillas de composite
Carillas de composite
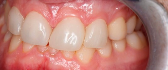
Caso Clínico de cerrado de diastemas con composite
Carillas de composite
Carillas de composite
Carillas de composite
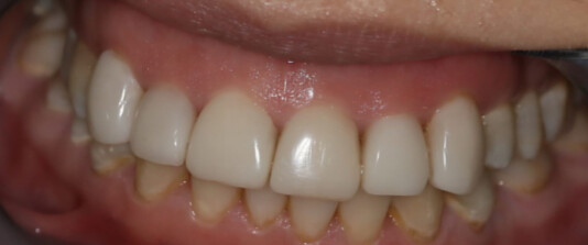
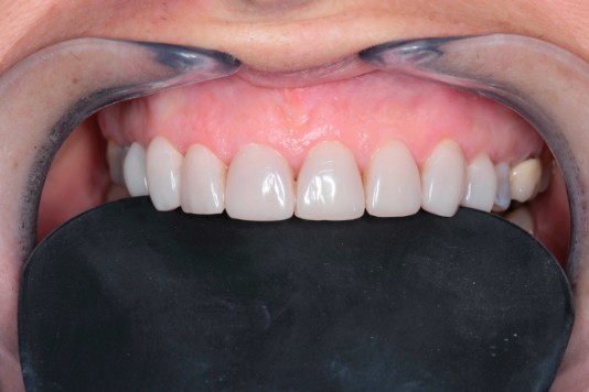
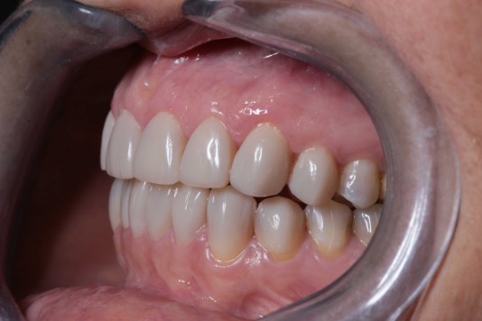
Caso Clínico de puente de e-max
Se trata de una cerámica innovadora que aporta unos resultados estéticos realmente satisfactorios, y que brinda una fortaleza y resistencia de hasta tres veces superior a otro tipo de materiales.
El objetivo es que el paciente quede satisfecho con su aspecto estético final.
Puente emax
Puente emax
Puente emax
Caso Clínico de Blanqueamiento Dental
Los tra­ta­m­ien­tos des­ti­na­dos a la Odon­to­logía Estéti­ca dan so­lu­ción a pro­ble­mas re­la­c­io­na­dos con la sa­lud bu­cal y la ar­monía estéti­ca de la bo­ca en su to­ta­li­dad. Mu­chos son sen­ci­llos, in­do­lo­ros y se pue­den re­a­li­zar en una o dos se­s­io­nes, y se ob­ser­van cam­b­ios vi­si­bles en muy po­co tiem­po.
Puente emax
Puente emax
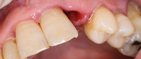
Caso Clínico de Implantes Inmediatos
Los implantes inmediatos son aquellos que se colocan en el mismo momento en el que se realiza la extracción del diente que se planifica sustituir.
Gracias a este avanzado tratamiento dental conseguimos reducir los tiempos quirúrgicos y, así, poder ofrecer una mayor comodidad y estética.
Recupera tu calidad de vida en solo unas horas.
Puente emax
Puente emax
Puente emax
Puente emax
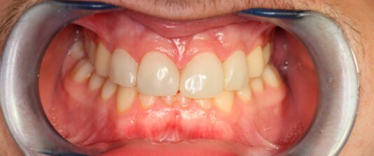
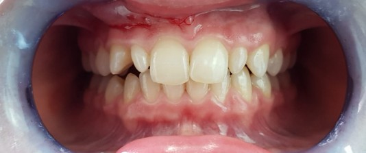
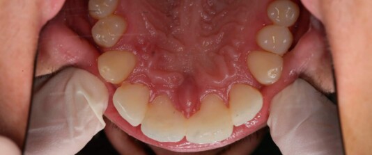
Caso Clínico de agenesias de molares y gran diastema
La  agenesia dental es la ausencia de un diente, generalmente un incisivo o un premolar, porque nunca ha llegado a desarrollarse ni nacer. Conocemos como diastemas al espacio que separa dos dientes adyacentes, es decir, cuando dos dientes no contactan entre sí.
agenesias de molares
agenesias de molares
agenesias de molares
agenesias de molares
agenesias de molares
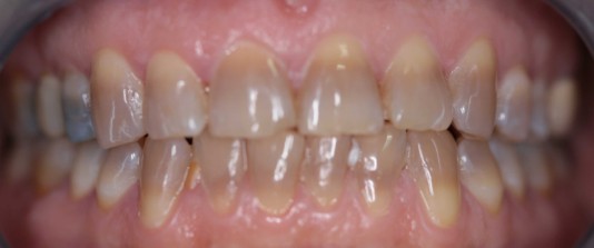
Caso Clínico de blanqueamiento en un diente endodonciado
En Clínica Dental Muro, realizamos de manera habitual, blanqueamientos dentales internos sobre dientes que se han sometido previamente a un tratamiento de endodoncia.
agenesias de molares
agenesias de molares
agenesias de molares
Regreso al contenido